採用情報 ▲
メンズ脱毛TOP
料金・プラン
脱毛機
脱毛効果をみる
MENU
医療脱毛とは
発毛細胞を破壊することは医療脱毛にしかできません。
麻酔について
脱毛の痛みを抑えるための麻酔には種類があります。
毛周期について
脱毛が1回で完了しないのは、毛周期が関係しています。
脱毛サロンについて
脱毛サロンの「光脱毛」とレーザー脱毛は別物です。
脱毛の痛みについて
脱毛には痛みが伴うものですが、軽減することもできます。
メンズ介護脱毛
将来介護されることを想定し、アンダーヘアを脱毛することです。
アスリート脱毛
プロ・アマチュアアスリートや趣味でスポーツされる方が脱毛することです。
シニア毛
シニア毛とは加齢や老化に伴い、「毛」が長く伸び続けてしまう現象のことです。
メンズ脱毛の回数について
メンズリゼでは約8割の方が5回コースをご契約されております。
レーザー脱毛の仕組み
発毛細胞に熱を与える方法には2種類あります。
ヤグレーザーの仕組み
ヤグレーザー脱毛は、濃く太い毛や色黒肌にも効果が期待できる医療脱毛の一種です。
脱毛のリスク
脱毛にはリスクが伴いますが、正しいケアで予防できます。
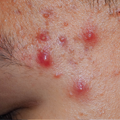
ニキビと脱毛の関係
「脱毛するとニキビが治る/できる」どちらも正解です。
泥棒ヒゲとは
ヒゲ脱毛後、「泥棒ヒゲ」になる場合があります。
青ヒゲとは
青ヒゲは、ヒゲ脱毛をすることで解消されます。
メディオスター
蓄熱式の脱毛器です。痛みを軽減した脱毛が可能です。
ジェントル・ヤグ
波長の長いレーザーで、根深い毛にも効率的に作用します。
ラシャ
熱破壊式と蓄熱式の切り替えが可能な、ダイオードレーザーです。
カウンセリング
メンズリゼの脱毛や保証についてご説明いたします。
剃毛動画一覧
各部位の剃毛方法を、動画で説明ご紹介します。
男性のスキンケア
お肌の状態は脱毛効果にも影響する場合があります。
VIO脱毛のメリット
男女200名を対象に、VIOに対する本音を暴露していただきました。
ハイジ男子
ハイジ男子についての実情などをアンケート形式でご紹介します。
男性の陰部脱毛について
陰部の脱毛方法と自己処理によるデメリットをご紹介します。
X(旧Twitter)
FOLLOW US
Instagram
Facebook
医師によるカウンセリングは無料です。 お気軽にご来院ください。
※ペア割利用でのご予約、または当日のご予約に関するものはお電話にてお問合せ下さい。 ※電話予約は各院の診療時間内のみ受け付けております。